Ortodoncja

Prywatna praktyka ortodontyczna prowadzona jest przez:
- dr n.med.Rafał Flieger MSc in orthodontics, wyspecjalizowany w ortodoncji poza granicami kraju
- lek.stom. Iwonna Flieger specj. ortodonta
- Zapewniamy profesjonalną diagnostykę oraz leczenie w oparciu o nowoczesne techniki
i najnowsze technologie - Leczenie wad zgryzu aparatami stałymi i ruchomymi
- W leczeniu ortodontycznym przywracamy piękny uśmiech i prawidłowy zgryz niezależnie od wieku
Leczenie ortodontyczne odbywa się w kilku etapach:
- Konsultacja
- Wyciski, zdjęcia RTG i fotografie.
- Diagnoza i plan leczenia.
- Montaż aparatu i wizyty kontrolne.
- Stabilizacja wyleczonego przypadku.
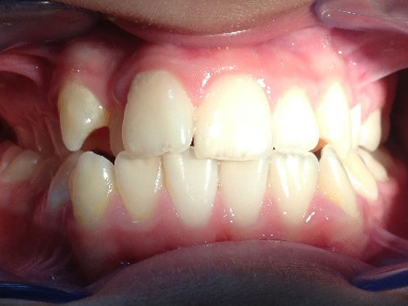
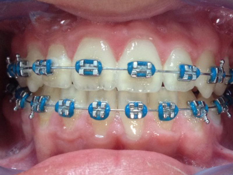
Przykładowy efekt naszego leczenia:

Przed leczeniem

Po leczeniu